
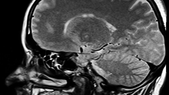
Cercetătorii au reușit să descifreze mecanismul viclean prin care cel mai agresiv tip de cancer de piele reușește să saboteze...

Rețelele de socializare au încetat să mai fie ferestre către lume, transformându-se în mecanisme de izolare intelectuală care...

Trăim într-o lume digitală, unde informațiile noastre personale sunt mai expuse ca niciodată. Hackerii, escrocii online și...

Oamenii de știință chinezi au făcut o descoperire remarcabilă privind structura termică a Lunii. Potrivit unei analize...

Un test rapid, cu o durată de doar trei minute și bazat pe analiza undelor cerebrale, ar putea identifica primele semne ale...

O descoperire arheologică de excepție a fost anunțată în Georgia, unde cercetătorii au găsit o mandibulă umană cu o vechime...

Un test de sânge aflat în studiu ar putea permite depistarea cancerului ovarian încă din fazele incipiente, oferind șanse mai...

Cercetătorii de la Universităţile Bologna şi Granada au descoperit că asfaltul poate fi făcut mai durabil prin adăugarea...

Un studiu pe scară largă al bolilor umane care existau în urmă cu 37.000 de ani a identificat bacteriile, virusurile şi...

Aproximativ 25% dintre locurile de muncă din întreaga lume vor fi afectate în mod direct de inteligența artificială...

Compania slovacă Klein Vision se pregăteşte să înceapă producţia de serie a maşinii zburătoare AirCar 2. Modelul este capabil...

Oamenii de știință atrag atenția asupra riscurilor majore asociate expunerii copiilor sub 6 ani la ecrane, precum...

Cerul va oferi un spectacol astronomic impresionant pe 29 martie: o eclipsă parțială de Soare, vizibilă din vestul și...

România se află pe ultimul loc în Uniunea Europeană în ceea ce privește investițiile publice în sectorul cercetare-...

Un nou studiu schimbă complet felul în care privim memoria celor mici. Se pare că bebelușii pot reține informații și...

Sunt marcați 110 ani (1915) de când a fost fotografiată pentru prima dată planeta Pluto, însă abia în 1930 a fost recunoscută...

Programul RO-SCUD, care abordează Ştiinţa, Cultura şi Diplomaţia ca factori ai dezvoltării durabile a României, cu suportul...

O echipă de astronomi a identificat o galaxie aflată la 88 de milioane de ani lumină de Soare, care își devorează galaxiile...

Două noi specii de dinozauri au fost descoperite pe teritoriul Geoparcului Internațional UNESCO Țara Hațegului, confirmând...

În regiunile aride ale lumii, unde accesul la apă este limitat, recoltarea ceții devine o soluție inovatoare și eficientă....

Oamenii de știință au identificat asteroidul YR4 ca având un risc de impact cu Pământul de 3,1%, cea mai ridicată...

Un studiu recent a descoperit concentrații ridicate de microplastice și nanoplastice în placenta bebelușilor născuți...

Un nou studiu publicat recent într-o revistă de specialitate sugerează că Luna ar putea fi mult mai veche decât s-a crezut...

Secţia de 'Ştiinţele Universului şi ale Vieţii' din cadrul Muzeului 'Vasile Pârvan' Bârlad vă prezintă lista cu cele mai...

Revista Science a desemnat un nou medicament împotriva infectării cu HIV drept cea mai importantă descoperire științifică a...

Radiaţiile ultraviolete (UV) au crescut brusc şi în mod neaşteptat în anumite părţi din Europa Centrală în ultimele decenii,...

În largul coastelor Mexicului, un grup de orci ar fi dezvoltat noi tehnici de vânătoare pentru a vâna rechinii-balenă, cei...

Un studiu realizat de un grup de cercetători chinezi sugerează că utilizarea reţelelor sociale ar putea juca un rol relevant...

Într-o decizie care a uimit lumea științifică și etică, Africa de Sud a hotărât recent să permită schimbări în codul genetic...

Oamenii de ştiinţă au dezvoltat algoritmi care contribuie la o mai bună înţelegere a faptului că seismele mici care cresc...

O importantă masă de particule solare se lovesc joi de Pământ, putând declanşa o 'severă' furtună geomagnetică de clasa G4,...

Un studiu israelian asupra fotosintezei poate deschide noi drumuri de inovare în domeniul agriculturii prin obţinerea unor...

Cercetătorii au reconstituit cele mai vechi genomuri umane din Africa de Sud, de la doi oameni care au trăit în urmă cu...

Tot ceea ce este viu în prezent pe Pământ s-ar trage dintr-un strămoş comun, o celulă care a trăit acum 4,2 miliarde de ani,...

Omul Cro-Magnon nu era în cea mai bună stare de sănătate, potrivit unui studiu francez. El suferea de o boală genetică rară...

În trecutul îndepărtat al omenirii, navigatori pricepuţi au reuşit traversări curajoase din Asia spre insule din Pacific, o...

Observatorul Astronomic şi Astroclubul 'Perseus' din cadrul Muzeului 'Vasile Pârvan' din Bârlad organizează în perioada 29...

Guvernul va aproba în şedinţa de miercuri, printr-o hotărâre, Strategia naţională în domeniul tehnologiilor cuantice (SNTC)...

O expoziţie de fotografie care prezintă "Antarctica pe urmele lui Emil Racoviţă" se deschide miercuri, 21 august, la Sibiu.

Oficiali de la NASA au declarat miercuri că doi astronauţi rămaşi blocaţi pe Staţia Spaţială Internaţională (ISS) ar putea să...

Safirele nu se formează la mari adâncimi în mantaua terestră, aşa cum se credea, ci în zona de contact dintre magmă şi crusta...

Meteoritul care s-a prăbuşit lângă Berlin în ianuarie 2024 are o vechime de aproximativ 4,5 miliarde de ani şi aparţine...

O echipă pluridisciplinară de cercetători internaţionali au efectuat analize la Vulcanii Noroioşi pentru a studia bulele...

Schimbările climatice, care provoacă topirea gheţarilor de la poli, încetinesc foarte uşor rotaţia Terrei, ceea ce creşte...

Un corp ceresc care se află de mulţi ani în colimatorul astronomilor ar putea fi prima planetă oceanică detectată în afara...

Un asteroid masiv, considerat un posibil 'ucigaş de planete', trece joi prin proximitatea relativă a Terrei, la o distanţă de...

Sonda spaţială Chang'e-6, având la bord primele eşantioane aduse vreodată pe Terra de pe faţa nevăzută a Lunii, a revenit cu...

Cu peste 250 de milioane de ani în urmă, Scoţia nu era învăluită în ceaţă şi ploi ca în zilele noastre, ci era un deşert...

Un gen neobişnuit de pitice brune, obiecte celeste puţin cunoscute şi considerate a fi o combinaţie între o planetă şi o...

O descoperire revoluționară în domeniul medical ar putea schimba radical modul în care este diagnosticată boala Parkinson. Un...

O echipă de oameni de ştiinţă de la Universitatea Tianjin din China a dezvoltat un nou tip de piele electronică pentru mâini...