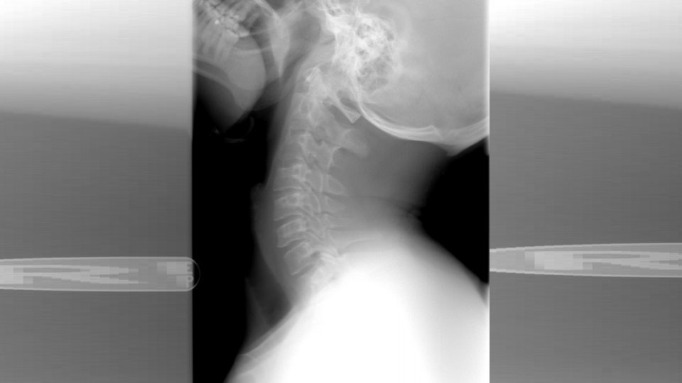
3 simptome unice pentru osteoartrita cervicală
Osteoartrita este o patologie care afectează coloana cervicală în aproximativ 75% din cazuri. Într-adevăr, osteoartrita cervicală este frecventă și este responsabilă de un set de simptome precum, pe lângă dureri de gât, migrene, rigiditate cervicală etc.

Articol de Simona Lazăr, 17 Aprilie 2023, 09:30
Durerea de gât caracteristică osteoartritei cervicale
Osteoartrita cervicală poate rămâne asimptomatică, dar poate provoca și dureri de gât. Acestea sunt adesea dureri surde, care sunt mai mult decât violente și brutale, dar extrem de dureroase de trăit. De obicei avem tendința să nu ne îngrijorăm pentru că acest tip de senzație dureroasă dispare rapid cu un masaj ușor sau când mușchii sunt caldi. Este totuși util să se consulte atunci când aceste dureri sunt recurente deoarece pot reflecta osteoartrita cervicală.
Migrenă și artrită cervicală
De asemenea, osteoartrita cervicală poate provoca migrene. Într-adevăr, atunci când privesc vertebrele cervicale superioare, pot dezvolta cioc de papagal care va irita nervul lui Arnold (care inervează scalpul) și va duce la dureri de cap violente. Aceste migrene sunt destul de caracteristice deoarece se extind de la gât până în partea din față a craniului doar pe o parte.
Osteoartrita și rigiditatea cervicală
Rigiditatea gâtului este, de asemenea, foarte reprezentativă pentru osteoartrita cervicală. Este deosebit de marcată în mișcările de rotație, adică atunci când se încearcă întoarcerea capului la stânga sau la dreapta. Cu cât osteoartrita cervicală progresează mai mult, cu atât limitarea este mai mare. Treptat, va îngreuna și îndoirea și extinderea capului.