
Agenţia de Plăţi şi Intervenţie pentru Agricultură (APIA) a publicat două noi ghiduri informative pentru implementarea...

Agenția de Plăți și Intervenție pentru Agricultură (APIA) a publicat, marți, două noi ghiduri informative dedicate...

Confruntarea privind taxele vamale, dificultatea în a găsi soluții, temerile care apar pe acest fundal, toate acestea...

Agenţia Naţională pentru Ocuparea Forţei de Muncă (ANOFM) anunţă organizarea unei noi ediţii a Bursei Generale a Locurilor de...

Sub genericul – „Tomorrow’s Europe” „Europa de mâine”, în această ediţie...

Moneda națională a continuat trendul descendent și a înregistrat, miercuri, cel mai slab curs de schimb față de euro din...

Într-o scenă desprinsă parcă dintr-un film, un suporter norvegian și-a asigurat prezența la un meci din Europa League plătind...

Institutul Național de Hidrologie și Gospodărire a Apelor (INHGA) a emis o avertizare de cod galben de inundații, valabilă...

România concentrează 23% din totalul forţei de muncă agricolă a Uniunii Europene, 1,77 milioane de locuri de muncă - cea mai...

Producătorii de fructe și legume din mai multe regiuni ale țării cer intervenția imediată a autorităților, după ce culturile...

Inundațiile din ultima perioadă au produs daune materiale considerabile, afectând mii de locuințe din mai multe județe.

Deși mulți consumatori le evită, considerându-le trecute sau alterate, bananele cu pete maronii sunt, de fapt, cele mai...

Administrația Națională de Meteorologie (ANM) a emis o avertizare de cod galben de averse torențiale valabilă pe parcursul...

Un proiect legislativ pus în dezbatere publică prevede acordarea unui voucher în valoare de 15.000 de lei pentru cuplurile...

Topirea ghețarilor este un fenomen alarmant cu implicații majore asupra mediului global.

Floarea-soarelui este o cultură de primăvară semănată devreme, dar în multe zone, mai ales în regiunile mai reci sau cu sol...

Alegerea numelui de papă nu este un simplu detaliu protocolar, ci un act cu profundă semnificație simbolică și spirituală....

Administrația Fondului pentru Mediu (AFM), lansează pe 12 mai 2025 programul „Rabla pentru tractoare”, destinat înnoirii...

Transfăgărășanul, unul dintre cele mai spectaculoase drumuri montane din Europa, va fi redeschis circulației în următoarele...

Moneda unică europeană a depășit marți, pragul psihologic de 5 lei, stabilind astfel un nou record pe piața valutară....

Autoritățile veterinare din Slovacia au confirmat apariția unui focar de pestă porcină africană la o fermă din localitatea...

Institutul Național de Hidrologie și Gospodărire a Apelor (INHGA) a emis o avertizare de cod galben de inundații, valabilă pe...

Salina Praid, una dintre cele mai cunoscute atracții turistice din județul Harghita, a fost închisă temporar ca urmare a...

Administrația Națională de Meteorologie a emis o avertizare de cod galben de instabilitate atmosferică accentuată, valabilă...

Corul de Copii Radio celebrează opt decenii de activitate prin două concerte aniversare ce vor avea loc la Sala Radio, un...

Furtul de artă nu este doar un act criminal, ci o lovitură adusă culturii și identității unei epoci.

Luna mai este una dintre cele mai aglomerate și decisive perioade din calendarul agricol. Este luna în care se încheie...

Într-o lume în care informația circulă mai repede decât oricând, capacitatea unui copil de a înțelege, interpreta și folosi...

Administrația Națională de Meteorologie (ANM) anunță o perioadă de instabilitate atmosferică pronunțată, cuprinsă între 5 și...

Poliţiştii de frontieră din cadrul Gărzii de Coastă au descoperit, în urma unei acțiuni desfășurate în Rezervaţia Biosferei...

Organizația Națiunilor Unite pentru Alimentație și Agricultură (FAO) avertizează că Europa traversează cea mai gravă epidemie...

Județul Timiș va inaugura primul centru de colectare de legume și fructe destinat exclusiv sprijinirii micilor producători...

Ministerul Educației anunță că prima etapă de înscriere în clasa pregătitoare se încheie marți, 6 mai. Etapa vizează copiii...

Institutul Naţional de Hidrologie şi Gospodărire a Apelor (INHGA) a emis o avertizare cod galben de inundaţii, valabilă până...

Un studiu realizat de Universitatea Curtin din Australia arată că anumite obiceiuri cotidiene, precum petrecerea timpului în...

Administrația Națională de Meteorologie (ANM) a emis o informare de instabilitate atmosferică valabilă în toată țara,...

Serviciul de Telecomunicații Speciale (STS) a anunțat că, în perioada minivacanței de 1 Mai, au fost înregistrate peste...

Un căprior din Grădina Zoologică din Craiova a murit după ce a ingerat bucăți de plastic aruncate în țarc de către vizitatori.

Institutul Național de Statistică (INS) a anunțat că rata șomajului în formă ajustată sezonier a scăzut la 5,5% în luna...

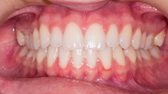
Durerile de dinți pot apărea brusc și pot fi extrem de supărătoare, mai ales în momente când accesul la un stomatolog nu este...

Caprifoiul, cunoscut și sub numele de Mâna Maicii Domnului, este una dintre cele mai apreciate plante cățărătoare din...

Durerile de spate, fie ele musculare, reumatice, sau posturale, afectează tot mai mulți oameni, indiferent de vârstă.

Trandafirii sunt fără îndoială regii grădinii – eleganți, parfumați și variat colorați, aceștia pot transforma orice spațiu...

Vezica biliară are rolul de a stoca și elibera bila – o substanță necesară digestiei grăsimilor.

Mulcirea este o tehnică de grădinărit care presupune acoperirea solului cu un strat protector de materiale organice sau...

România se confruntă cu un paradox dureros: în timp ce resursele naturale și potențialul agricol sunt uriașe, veniturile...

După un weekend cu temperaturi mai ridicate decât media perioadei, vremea va continua să fie plăcută și în prima parte a...

Alergiile de primăvară, cauzate în special de polen, praf sau mucegaiuri, pot fi sâcâitoare, dar există numeroase remedii...

Luna mai este una dintre cele mai importante perioade din calendarul grădinarului. Temperaturile încep să se stabilizeze,...

Ministrul Educației, Daniel David, a declarat că publicarea în Monitorul Oficial a ordinului privind implementarea sistemelor...

27.6 mil de euro au ajuns în economia României prin cel mai mare proiect european de mediu, gestionat de Fundaţia...