
Parohiile din cadrul Protopopiatului Brăila au oferit cu ocazia Sfântului Ierarh Nicolae, ocrotitorul spiritual al...

Moaştele Sfântului Nicolae, aflate în patrimoniul sacru al Reşedinţei arhiepiscopale din Galaţi, au fost aduse spre închinare...

Ministerul Dezvoltării, Lucrărilor Publice şi Administraţiei (MDLPA) a virat suma de 112.594.877,99 de lei, în vederea...

Un bărbat din Alba care şi-a ucis fratele în urma unui conflict spontan a fost arestat miercuri de către Tribunalul Alba,...

Doi cetăţeni de naţionalitate chineză, soţ şi soţie, au fost trimişi în judecată pentru dare de mită în legătură, informează,...

Iubitorii de literatură sunt invitați la cea de-a 31-a ediție a Târgului de Carte Gaudeamus, organizat de Radio România,...

Guvernul României a decis să aloce 125 milioane de lei pentru a sprijini fermierii afectați de secetă, acoperind costurile...

Povestea asta a pâinii mănăstirești am aflat-o eu în cuhniile Episcopiei Hușilor, într-o zi binecuvântată dintr-un post mare...

Povestea Casei Bunescu este una de inspirație, despre reîntoarcerea la rădăcini și transformarea unei podgorii moștenite...

Anul 2024 a fost unul dificil pentru viticultorii români, marcat de o scădere a producției cu 25% față de 2023, conform...

Asociația Prietenii Spitalului Vâlcea derulează o campanie de tratamente stomatologice gratuite, destinată copiilor din...

Pe măsură ce se instalează sezonul rece, începi să te simți obosit, iar acest sentiment crește de la săptămână la săptămână....

Regia Națională a Pădurilor Romsilva derulează o amplă campanie de împăduriri în toamna acestui an, cu un obiectiv de peste...

Violența în școli reprezintă o problemă gravă și tot mai frecventă în România, având un impact semnificativ asupra procesului...

În cadrul emisiunii „Viața la țară” difuzată de Antena Satelor, realizatoarea Violeta Anghel l-a avut ca invitat pe Marius...

În cadrul emisiunii „Viața la țară”, realizatoarea Tatiana Mircea a avut-o ca invitată pe Aurelia Vișinescu, viticultor și...

Vinul, parte esențială a tradițiilor românești, rămâne un simbol al muncii și al bucuriei.

Alături de Mont Saint-Michel (Franța), Alhambra (Spania) și Matterhorn (Elveția), Castelul Bran este considerată una dintre...

Senatul a adoptat un proiect de lege care permite ambilor părinți de multipleți, precum gemeni, tripleți sau mai mulți copii...

Consiliul Uniunii Europene a adoptat o recomandare adresată statelor membre pentru intensificarea măsurilor de restricționare...

Consiliul Europei a adoptat o decizie care permite statelor membre să implementeze măsuri mai stricte împotriva populațiilor...

Guliile sunt un ingredient întâlnit frecvent pe masa ardelenilor și a bănățenilor, de la gulii umplute cu carne sau de post,...

Violența domestică continuă să afecteze mii de familii din România, reprezentând una dintre cele mai grave probleme sociale.

Două focare de pestă porcină africană au fost confirmate în județul Buzău, afectând două gospodării din localitățile Cozieni...

Pompierii militari intervin de urgenţă, marţi dimineaţa, în centrul municipiului Râmnicu Vâlcea, unde o conducă de gaze a...

O femeie de 63 de ani care traversa strada pe trecere de pietoni nesemaforizată a fost accidentată mortal, marţi, în...

Fermierii pot depune, până pe 31 decembrie 2024 inclusiv, cererile de acord pentru finanţare aferente schemei de ajutor de...

Preşedinta Curţii Penale Internaţionale (CPI), japoneza Tomoko Akane, a denunţat luni faptul că instanţa este tratată ca...

Pribeag "pe drumuri de munte", pe Durău, turistul mai puţin pretenţios este de acord că e preferabil să găseşti un "loc de...

Din Târgu Cărbunești, trecând dealul, pe lângă stadion, Mănăstirea Cămărășeasca apare călătorului curios ca o minune. Și...

egistrul Auto Român (RAR) a introdus certificatul Auto-Pass, un document menit să faciliteze verificarea istoricului...

Compania Națională de Căi Ferate CFR SA a anunțat că noul mers al trenurilor va intra în vigoare începând cu data de 15...

Indicele ROBOR la trei luni, în funcţie de care se calculează costul creditelor de consum în lei cu dobândă variabilă, a...

Institutul Naţional de Sănătate Publică derulează în luna decembrie o campanie care vizează creşterea gradului de informare...

Registrul Auto Român a început să emită certificatul RAR Auto-Pass. Acesta este un document digital care poate fi solicitat...

În această toamnă, Fundația Conservation Carpatia, recunoscută pentru inițiativele sale în zona Munților Făgăraș, a anunțat...

Curtea Constituţională se va pronunţa astăzi asupra validării votului de la turul întâi al alegerilor prezidenţiale.

Tema din acest an este realizarea unui brad de Crăciun din hârtie sau carton, utilizând materiale accesibile, precum hârtie...

Un număr de 1.200 de puieţi de frasin, paltin, arţar şi păducel au fost plantaţi în zona exterioară Parcului Natural...

Cei care vor să participe la diferite ateliere în luna decembrie, precum atelier de confecţionat brăduţi, steluţe sau coşuri...

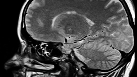
Spitalul Judeţean Timişoara anunţă o premieră medicală naţională care constă într-o procedură de tip hibrid neurochirurgicală...

Ţările nu au reuşit să ajungă la un acord de referinţă privind combaterea poluării cu plastic, după mai bine de doi ani de...

Catedrala Notre-Dame din Paris, unul dintre cele mai cunoscute monumente le lumii, se redeschide săptămâna aceasta, după ce a...

Poşta Română începe astăzi distribuirea pensiilor pentru luna decembrie. Până pe 13 decembrie, aproape 5 milioane de...

Cinci români au primit în acest sfârşit de săptămână o nouă şansă la o viaţă normală, după ce au beneficiat de câte un...

De 25 de ani, Radio România participă la ceremoniile de decernare a premiilor Nobel din ziua de 10 decembrie, la Stockholm...

Peste trei miliarde de ambalaje cu simbolul 'SGR' au fost colectate în primul an de la lansarea Sistemului...

Vânzările principalilor furnizori de arme au fost stimulate anul trecut de războaiele din Ucraina şi Gaza şi de tensiunile...

Rata şomajului a ajuns în România la 5,4%, în luna octombrie, în scădere cu 0,2 puncte procentuale faţă de septembrie, arată...

Un număr de 13 persoane au fost salvate, în ultimele 24 de ore, de către salvamontişti, patru dintre acestea fiind...

Poliţiştii prahoveni au deschis, duminică, un dosar penal după o sesizare de vot multiplu care viza secţii din Germania,...